目立たない
透明なマウスピースを使用するため、矯正中も自然な笑顔を保つことができます。
取り外し可能
食事や歯磨きの際には取り外すことができるため、衛生的です。
menu
Mouthpiece
久保歯科では、患者様のさまざまなニーズに応えるため、最先端の矯正治療「インビザラインGO」を提供しております。
インビザラインGOは、目立たないマウスピース型の矯正器具を使用し、歯並びや咬み合わせの問題を解決する革新的な治療法です。従来の矯正治療と異なり、金属を使ったブラケットがないため、見た目にも自然で、日常生活においても違和感を感じにくいという大きな利点があります。

1.初診・カウンセリング
まずは、患者様の現在の歯並びや咬み合わせの状態を把握します。この段階で、インビザラインGOが適切な治療法であるかを評価し、患者様のご希望や期待についても詳しく伺います。
2.精密検査
デジタルスキャンを用いて、お口の中の正確な状態を3D画像で把握します。この情報を基に、個々の患者様に最適化された治療計画を立てます。
3.マウスピースの製作
治療計画に基づき、患者様一人ひとりに合わせたマウスピースを製作します。このマウスピースを定期的に交換しながら、徐々に歯を理想の位置に移動させていきます。
4.定期的なフォローアップ
治療期間中、定期的に歯科医院を訪れていただき、進捗状況のチェックと次のステップへの移行を行います。
5.治療後のケア
目標とする歯並びが実現された後も、維持のためのアフターケアが重要です。リテーナーの使用や定期的な歯科訪問を推奨しております。
目立たない
透明なマウスピースを使用するため、矯正中も自然な笑顔を保つことができます。
取り外し可能
食事や歯磨きの際には取り外すことができるため、衛生的です。
痛みが少ない
従来の矯正器具と比較して、圧力が均等に分散されるため、痛みを感じにくいです。
治療期間が短い
個々の症例によりますが、一般的には従来の矯正治療よりも治療期間が短縮されることが多いです。
久保歯科では、患者様一人ひとりのニーズに合わせた治療計画を提供しております。経験豊富な院長・副院長が、最初から最後まで責任を持って治療を行います。また、最新の技術と設備を備えた快適な環境で、患者様に安心して治療を受けていただけるよう努めています。
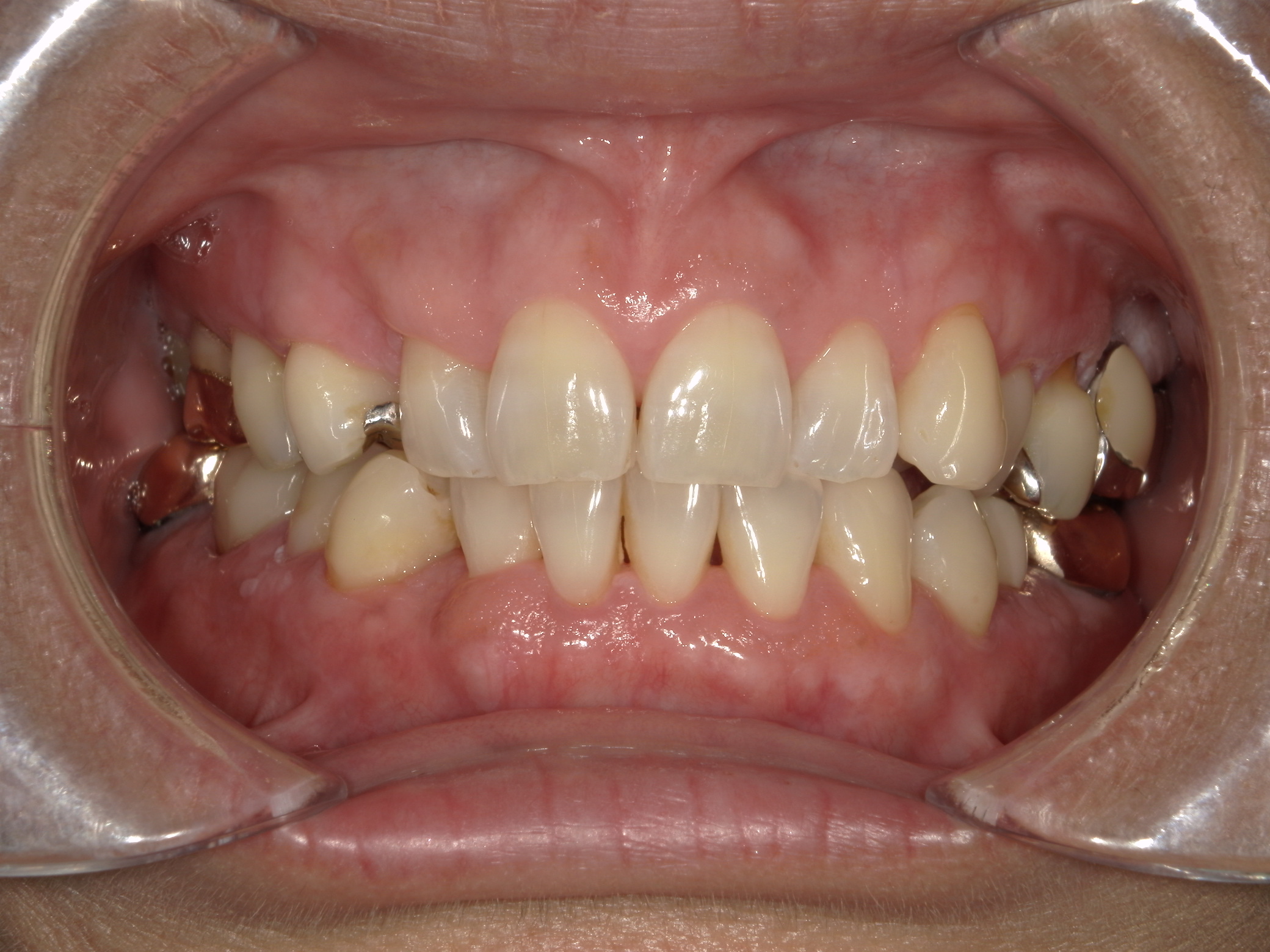
叢生(ガタつき)に対するマウスピース矯正(インビザライン)
44万円(税込)
疼痛、歯肉退縮、ブラックトライアングル、装着時間不足による治療遅延
治療前

治療後

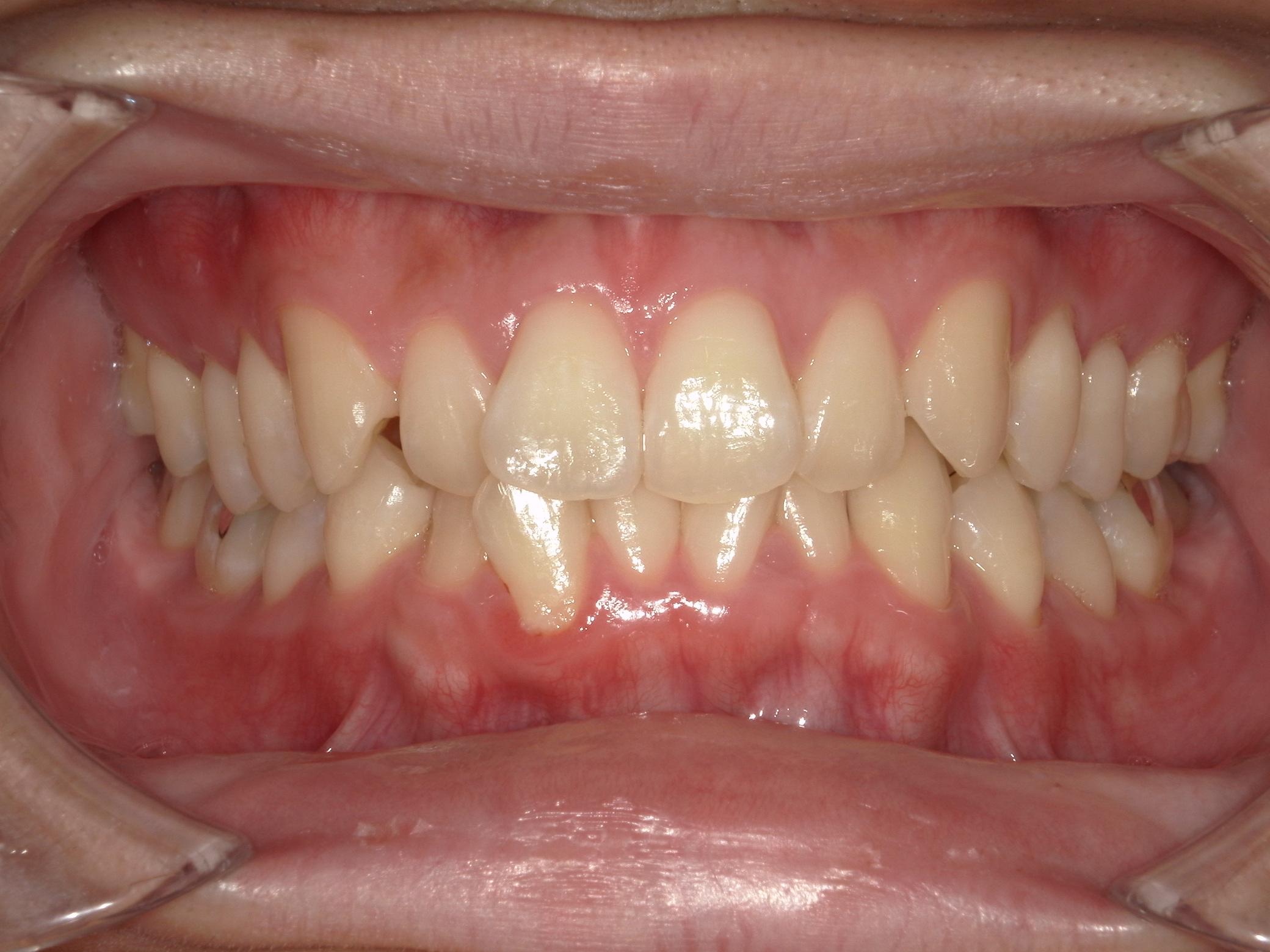
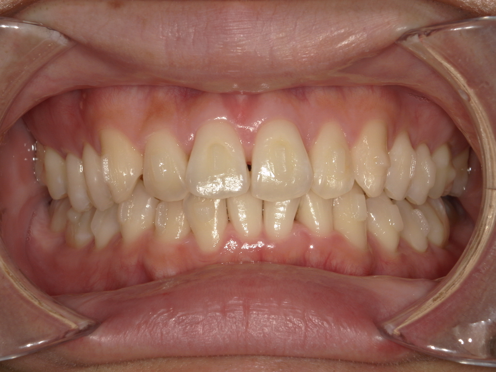
叢生に対するマウスピース矯正(インビザライン)
44万円(税込)
約1年6ヶ月
疼痛、歯肉退縮、ブラックトライアングル、装着時間不足による治療遅延
治療前

治療後

インビザラインGOは、目立たない矯正治療を求める方や、忙しい日常生活を送る中で矯正治療を受けたい方に最適な選択肢です。久保歯科での治療を通じて、患者様一人ひとりが理想とする美しい笑顔を手に入れられるよう、全力でサポートいたします。
皆様のお悩みやご質問がございましたら、お気軽に久保歯科までご相談ください。